技术支持
文献分享|斑马鱼模型揭开遗传病谜团:罕见基因变异如何导致先天性心脏病?
IOVS | 揭秘家族性渗出性玻璃体视网膜致病机制:FZD4基因错义突变的新发现
WANG
基因突变检测专区
文献速递:定制ASO修复罕见病突变,为个性化治疗按下加速键
淋巴细胞永生化模型之遗传性骨髓衰竭综合征
淋巴细胞永生化验证线粒体功能受损和骨髓衰竭患者SRSF4基因变异的功能
分子实验服务专区
【科研前沿】新发SPTAN1突变揭示遗传性运动神经病机制,mini-NMD技术助力高效检测!
文献分享|对Birt–Hogg–Dubé 综合征家系进行临床检查和基因诊断,该家族患者存在新型FLCN移码突变,导致无义介导的mRNA降解
admin
错义突变功能验证之——酵母模型
小段
动物实验服务专区
活体成像技术
酵母细胞检测人类突变基因功能
其他服务
激光共聚焦观察
细胞实验服务专区
外泌体(Exosome)
荧光素酶报告检测实验
transwell细胞迁移/侵袭
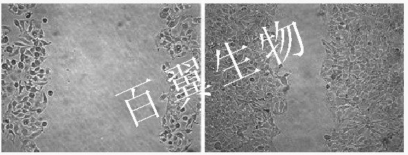
细胞划痕实验
双荧光素酶报告检测(miRNA靶基因验证)
免疫荧光——细胞爬片
细胞增殖/毒性检测—MTT比色法
原代细胞分离培养
DNA损伤检测—彗星试验
细胞瞬时转染服务
平板克隆形成实验
细胞周期检测(流式)
细胞凋亡检测 Annexin v-FITC/PI (流式)
荧光定量PCR(qPCR)技术概述
microRNA相关实验
荧光定量PCR/QPCR绝对定量检测服务
细胞增殖/毒性检测-CCK8检测
miRNA QPCR检测(加尾法)
慢病毒服务专区
GFP/LUC标记细胞株构建服务
shRNA干扰载体构建
ShRNA慢病毒载体构建
过表达慢病毒载体构建
载体构建
慢病毒过表达细胞株构建
荧光定量PCR/QPCR检测(SYBR法)
蛋白及免疫学服务专区
原核表达载体构建
蛋白原核表达服务
shRNA慢病毒细胞株构建
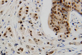
免疫组化
裸鼠成瘤
ELISA技术服务
免疫荧光
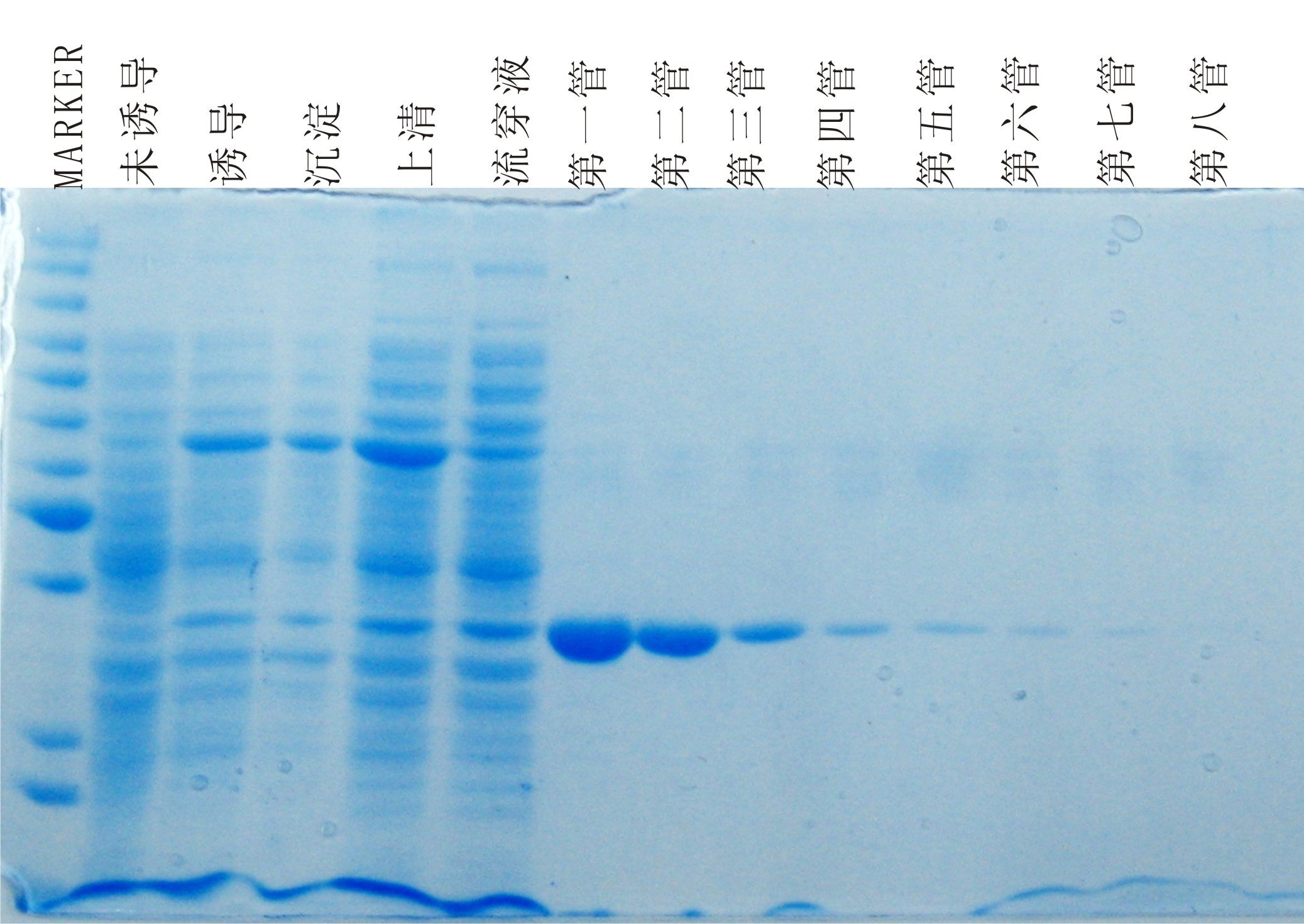
蛋白质免疫印迹 Western Blot
动物模型服务
白血病PDX模型
co-IP免疫共沉淀实验
Pull-Down 蛋白体外结合实验
鸡胚尿囊膜---肿瘤模型的构建
荧光显微镜拍照服务
HE染色
minigene技术服务(mRNA异常剪接体外验证)
X染色体失活偏移检测
人体细胞iPSC重编程建系
永生化细胞系建系
NMD (无义介导的mRNA 降解)技术解析
地址: 苏州市高新区888号
电话: 0755-88886666
邮箱: service@
2024-06-19
2024-05-28
© 百乐森林舞会官网. 版权所有苏ICP备2025888888号